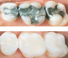
¿Qué es?

La restauración dental permite recuperar la estructura y anatomía de dientes dañados mediante la aplicación de técnicas y materiales específicos. Su objetivo es triple: Ayuda a detener la progresión de enfermedades dentales como caries o infecciones.